Memoria fotográfica …

Muy Interesante(S.Romero)/ACyV/BBC News(V.Perasso) — La memoria fotográfica, también denominada memoria eidética o hipermnesia es muy poco común en adultos pero entre el 2% y 10% de los niños la experimenta a muy temprana edad; sin embargo, esta capacidad tiende a desaparecer tras los seis años de edad, momento en el que los más pequeños aprenden nuevas formas de procesar la información y la memoria fotográfica deja de ser crucial en el aprendizaje.
Esta capacidad de recordar la información con un nivel de detalle extremadamente preciso no es hereditaria y si no se diagnostica a tiempo y, por tanto, no se entrena ni se cultiva, la habilidad acaba diluyéndose para finalmente desaparecer.
Como curiosidad, las personas con memoria fotográfica cuando se esfuerzan en recordar una escena al milímetro, mueven sus ojos como si estuvieran escaneando la imagen o escena que están recuperando de su cerebro directamente desde su perspectiva visual (como si estuviera ahí aún).
Como contrapartida, si pronuncian una palabra o frase corta en los segundos de recuperación de recuerdos, la calidad de la imagen eidética se debilita, según explica la revista Scientific American.
Por el momento no existen estudios que aclaren con suficiente evidencia científica que la memoria fotográfica pueda ser entrenada o aprendida. Y, pese a todo, los mecanismos subyacentes a la memoria fotográfica y cómo poder desarrollarla son aún un misterio.
¿Existe realmente la memoria fotográfica? Esto nos dicen la ciencia y la historia
:format(jpg)/f.elconfidencial.com%2Foriginal%2F4d0%2F24c%2F60d%2F4d024c60de6f417c1695b3d5febd1589.jpg)
Está claro que la vida actual está rigurosamente determinada por eso que denominan la sociedad de la imagen, está claro que lo somos y el por qué lo somos: nos desarrollamos en ellas, entendemos cualquier parámetro de nuestra existencia a través de su forma visual, y si no la tiene la inventamos.
Sin embargo, el lenguaje de las imágenes ha establecido lógicas en el mundo desde mucho antes que pasara a pertenecer a la imagen.
A lo largo de la historia, muchas personas han afirmado tener un don extraordinario en torno a ella, aunque curiosamente entendiéndola como la capacidad de poder memorizar instantáneamente grandes volúmenes de texto.
La llamaron memoria fotográfica en el afán por cruzar las capacidades de personas y máquinas.
Los científicos Nikola Tesla y John von Neumann, el escritor Truman Capote, y un gran número de personas menos conocidas afirmaron poseerla. De hecho, es posible que conozcas a alguien que en algún momento te haya dejado caer que también está en ese grupo.
Sin embargo, aunque la idea de la memoria fotográfica está muy extendida en la cultura popular, la realidad científica del fenómeno es bastante diferente de cómo se describe comúnmente.
En la década de los 1970, Ralph Norman Haber teorizó que, en ausencia de habilidades lingüísticas sofisticadas, los niños pequeños dependen más de las imágenes visuales para el procesamiento de la memoria.
A medida que los niños aprenden a expresarse verbalmente y a pensar de manera más abstracta, confían cada vez menos en la memoria visual.
Observando a los niños
En lo que respecta a esa noción, fueron precisamente los niños los que abrieron un importante melón para psicólogos y neurólogos dedicados a estudiar eso de la memoria visual. Resulta que la memoria visual incluye dos tipos de capacidades que, a veces, se confunden: la memoria fotográfica y la eidética.
:format(jpg)/f.elconfidencial.com%2Foriginal%2F3f7%2F704%2F45d%2F3f770445df426904826c488aaa8d7824.jpg)
Según Scott Lilienfeld, profesor de psicología en la Universidad de Emory, la memoria eidética, del griego eidos, o «forma visible», se refiere a la capacidad de una persona para «mantener una imagen visual en su mente con tanta claridad que pueden describirla perfectamente o casi perfectamente… tal como podemos describir los detalles de una pintura inmediatamente frente a nosotros con una precisión casi perfecta».
Poniendo a prueba a niños y niñas, Haber encontró que esta capacidad se encuentra casi exclusivamente en pequeños de entre 6 a 10 años, y solo en un porcentaje muy escaso. Según este experto, alrededor del 2 al 10% de los niños en edad escolar primaria poseen la capacidad de retener una imagen residual clara en su campo visual.
Sin embargo, estas imágenes generalmente se desvanecen de la vista en uno o dos minutos, y no son las grabaciones hiperprecisas que implica el término «memoria fotográfica».
Tres categorías
Cuando la pensamos en memoria fotográfica, tendemos a entender por ello la capacidad de memorizar instantáneamente grandes volúmenes de texto o conversaciones enteras con una precisión perfecta, porque así lo declararon algunos grandes personajes de la Historia.
Pero hay que pulir mucho este pensamiento para llegar a una respuesta algo convincente sobre qué es exactamente la memoria fotográfica.
:format(jpg)/f.elconfidencial.com%2Foriginal%2Fc45%2F2c3%2F608%2Fc452c3608aaf50ba996b9c6fca92e0ae.jpg)
Para empezar, podemos clasificar a las personas en tres categorías en base a esta capacidad: Los primeros son los llamados sabios excepcionales.
Tal vez el más famoso de estos fue Kim Peek, que sirvió de inspiración para el personaje de Dustin Hoffman, Raymond Babbitt, en la película ‘Rain Main’ de 1988.
Cuando Peek murió en 2009, a la edad de 58 años, había memorizado el contenido de más de 12.000 libros, leyendo a una velocidad de una página cada 8-12 segundos.
El segundo grupo de personas que comúnmente se cree que tienen memorias fotográficas son aquellas que padecen un trastorno raro conocido como hipertimesia.
Las personas con esta afección poseen una memoria autobiográfica excepcional y pueden recordar detalles aparentemente irrelevantes de casi todos los días de sus vidas, como el clima, lo que salió en las noticias o en la televisión, o lo que comieron en el desayuno.
La capacidad de olvidar
Aunque eso último suene estupendo, especialmente si acabas de intentar recordar qué hiciste ayer y no lo logras tener en mente con exactitud, lo cierto es que lejos de ser un defecto que limite nuestro potencial, nuestra capacidad para olvidar detalles irrelevantes y generalizar la información es esencial para que podamos navegar con eficacia por el mundo que nos rodea.
Si bien esto puede parecer una habilidad muy útil, para la mayoría de las personas con esta afección, la incapacidad de olvidar es, de hecho, una auténtica carga.
El tercer y último grupo de personas con memorias supuestamente fotográficas son los mnemotécnicos.
Esto es lo que la mayoría de la gente piensa cuando imagina la memoria fotográfica: personas con una inteligencia normal o superior a la media y una capacidad social capaz de memorizar instantáneamente y recuperar sin esfuerzo grandes volúmenes de información general.
Sin embargo, los mnemotécnicos en general no poseen habilidades naturales extraordinarias, sino que han aprendido a usar una variedad de técnicas mnemotécnicas para ayudarlos a memorizar información.
Entre las técnicas más comunes se encuentran la codificación, el método de loci y el mind palace. Todo ello implica vincular la memoria semántica con la memoria episódica, que es más fácil de recuperar para la mayoría de los humanos.
Recursos para la edad adulta
Para entenderlo, basta un ejemplo: Asociando la secuencia numérica 1-9-4-5 con el año en que terminó la Segunda Guerra Mundial, estamos codificando, es decir, vinculando una información con otra que ya hemos memorizado.
En cuanto al método de loci y mind palace, tienen que ver con colocar palabras, números u otras piezas de información específicas en ubicaciones u objetos en un espacio real o imaginario, y luego «caminar» mentalmente a través de ese espacio.
:format(jpg)/f.elconfidencial.com%2Foriginal%2F538%2F767%2Fbcf%2F538767bcf05a237b8bf3006accd29eda.jpg)
Al final, todos los supuestos casos de memoria fotográfica que no involucran el síndrome del sabio o la hipertimesia, han resultado ser meramente el resultado de estas técnicas mnemotécnicas combinadas con un simple trabajo duro.
Hasta la fecha, la mayoría de las investigaciones demuestran que los adultos perdemos rápido la posibilidad de tener memoria fotográfica, precisamente porque dejamos de poseer la habilidad natural de construir imágenes eidéticas.
Al parecer, esto se debe justo a que en edad adulta las personas tienden a codificar lo que observan visual y verbalmente, lo cual dificulta la formación de una imagen eidética.
Ahora bien, … ¿Realmente existe la memoria fotográfica?

Todos tenemos un amigo o familiar que afirma tener memoria fotográfica. Los hemos visto leer un texto una sola vez y poder repetirlo con asombrosa precisión tiempo después.
O personas que nos recuerdan pasajes de nuestra infancia con tal claridad que es como ver una foto vieja, que poco a poco va adquiriendo nuevo brillo en sus colores y mayor nitidez ante nuestros ojos.
Pero, ¿por qué no hay pruebas científicas contundentes sobre la existencia de la memoria fotográfica o eidética?
Fotográfica o eidética
Hay que comenzar por zanjar un debate inicial. ¿Es memoria fotográfica o eidética?
La palabra «eidético» viene del griego eidos (forma) y, según la revista Focus de la BBC, no debe confundirse el término con memoria fotográfica, por cuanto el cerebro no funciona como una cámara y las imágenes eidéticas no son realmente como fotografías.

Si cuenta con memoria eidética recordaría tras mirar esta imagen unos segundos cuántas hojas tiene la planta.
Si a quienes tienen memoria eidética se les muestra brevemente una imagen que no hayan visto previamente, afirman que pueden «ver» una imagen mental y recuerdan detalles sumamente específicos, como el número de las ventanas en una calle o de pétalos en una flor.
Además, sus ojos se mueven como si estuvieran escaneando la imagen o escena que ven.
«Puedes esperar que una persona que afirme ver una foto después que no la tiene enfrente, pueda recordar perfectamente la foto original. Sin embargo, la precisión de muchas imágenes eidéticas está lejos de ser perfecta«, señala la página web de la revista Scientific American.
Cuando se habla de memoria fotográfica, usualmente se alude a casos donde la persona puede conservar en su memoria escenas por mucho más tiempo, incluso hechos provenientes de otros momentos de su vida.
¿Hereditaria?
La memoria eidética en adultos es muy rara y una vez se pensó que era hereditaria, advierte la revista BBC Focus.
No obstante, esta extraordinaria habilidad no está relacionada con otros tipos de memoria o con el coeficiente intelectual.

BBC Focus explica que un porcentaje que varía entre 2 y 10% de los niños a temprana edad experimenta este tipo de memoria, pero tiende a desvanecerse cuando alcanzan los seis años, debido a que el individuo aprende métodos más eficientes para procesar información y para desarrollar memoria autobiográfica y verbal.
La mayoría de las investigaciones demuestran que los adultos no poseen la habilidad de construir imágenes eidéticas.
Al parecer, esto se debe a que en edad adulta las personas tienden a codificar lo que observan visual y verbalmente, lo cual dificulta la formación de una imagen eidética.
Hasta el momento no existen estudios que arrojen suficiente evidencia para afirmar que la memoria fotográfica o eidética puede ser entrenada o aprendida.
Cómo saber si la tienes
La Scientific American hace referencia al Método de Extracción de Fotos para determinar si existe memoria eidética, que consiste en presentarle a una persona una foto desconocida sobre un caballete para que la observe cuidadosamente durante 30 segundos.
Cumplido ese período, se retira la foto y se le pide que describa lo que observó.
Las personas que afirman tener memoria eidética dicen poder ver la imagen, y pueden analizarla como si en verdad estuviese puesta sobre el caballete.

Al referirse a memoria fotográfica, el proceso de descubrir que se posee este don puede ser inesperado, incluso traumático.
Es el caso de Kaavya Viswanathan, autora de un libro por el cual fue acusada de plagiar 29 pasajes provenientes de otro libro escrito por Megan McCafferty.
Según la publicación Slate, Viswanathan reprodujo los pasajes de manera inconsciente e involuntaria, gracias a su memoria fotográfica. Ella almacenó esa información en su memoria y, al parecer, la hizo «suya» con el transcurrir de los años.
Lo mismo parece haberle ocurrido al ex Beatle George Harrison, quien siempre afirmó que nunca quiso copiarse la melodía «He’s so fine», el gran éxito del grupo estadounidense The Chiffons en 1963, cuando compuso «My Sweet Lord«. Simplemente olvidó que había escuchado esa canción con anterioridad.
Buena memoria
Aunque no hay estadísticas que confirmen la existencia de la memoria fotográfica, sí hay personas con buena memoria.
Se dice que Kim Peek, de 53 años, quien sirvió de referencia para el personaje interpretado por Dustin Hoffman en la película Rain Man, memorizó cada página de los más de 9.000 libros que había leído.
Peek dice que le toma entre 9 y 12 segundos leer una página (cada uno de sus ojos lee una página independientemente). No obstante, nunca se han realizado pruebas rigurosas sobre la habilidad de Peek.
También está el caso de Stephen Wiltshire, quien ha sido llamado «la cámara humana» por su habilidad para crear bosquejos de escenas vistas durante unos segundos.

«Pero incluso en este caso no puede hablarse de una memoria fotográfica. Su mente no funciona como una fotocopiadora Xerox. Se toma libertades al momento de recordar lo que vio», aclara Slate.
A principios de año, la Universidad de California-Irvine publicó un artículo sobre el caso de una mujer llamada A. J., quien aparentemente puede recordar cada día de su vida desde la niñez. Su condición ha empezado a denominarse síndrome hipertiméstico.
Al parecer, hacen falta más estudios que permitan concluir en la existencia de estos tipos de memoria. Los investigadores están haciendo esfuerzos y es probable que pronto se produzcan nuevos hallazgos al respecto.
7 Personas Famosas con Memoria Fotográfica
A lo largo de nuestra historia, hasta alcanzar la actualidad, se han conocido distintos casos de personas famosas con memoria fotográfica. ¿Quieres conocer sus historias? Veamos cuál te sorprende más.
1. Nikola Tesla
Nikola Tesla fue un hombre adelantado a su época, el padre del futuro. Gracias a sus aportaciones, hoy nos comunicamos mediante smartphones y ordenadores, además de otros inventos que nacieron gracias a él. ¡Son al menos 700 inventos los que llevan su autoría!
Entre las curiosidades de Nikola Tesla encontramos su memoria fotográfica. De hecho, confiaba en su «habilidad para memorizar» al detalle planos de suma complejidad.
Él mismo decía que era capaz de recordar en su mente libros enteros con exactitud, así como cualquier tipo de percepción sensorial. A menudo estos estímulos invadían su cabeza en forma de alucinaciones y destellos de luces que más tarde serían recogidos como la demencia de Tesla.
2. Kim Peek

Kim Peek recibió su fama por tratarse del verdadero Rain man, el sujeto con capacidades intelectuales extraordinarias que inspiró la película del estadounidense Dustin Hoffman, de 1988.
Su caso se convirtió en uno de los más sorprendentes de entre todas las personas con memoria fotográfica. Era capaz de memorizar el 98% de las palabras de los libros que había leído en su vida: ¡nada más y nada menos que 12 mil ejemplares en total!
Leía dos páginas en ocho segundos y un libro de cientos de páginas en una hora, cada globo ocular se ocupaba de una y otra página en simultáneo.
No obstante, Peek nació con macrocefalia (daño permanente en el cerebelo) y agenesia de cuerpo calloso, por tanto, pese a su prodigiosidad, a duras penas podía valerse por sí mismo debido a las dificultades motoras que le aquejaban.
3. Jerry Lucas

A Jerry Lucas lo conocían por ser un destacado jugador de baloncesto. Brilló en la cancha desde la década de los 60 hasta los 70, en 1996 fue integrado a la lista de los 50 jugadores de la NBA más valiosos en la historia de esta disciplina deportiva.
Ahora, es su sistema para retener información descrito en docenas de libros y cientos de conferencias el que le da al nombre de «Jerry Lucas otro sentido».
Lucas pertenece al pequeño grupo de gente con memoria fotográfica, que muy probablemente puso en práctica en la cancha de baloncesto para perfeccionar su técnica al registrar en su cerebro los movimientos de sus contrincantes.
No solo es un basquetbolista estrella, sino una mente prodigiosa.
4. Guillermo del Toro

El trabajo fílmico de Guillermo del Toro, director y guionista mexicano, es visualmente increíble e identificable a simple vista.
Su increíble imaginación es alimentada a la vez con la memoria fotográfica que asegura tener.
Un arma que como cineasta le ha permitido poder consultar su memoria inagotable para transformar recuerdos en historias que hacen de Guillermo del Toro uno de los directores más aclamados de Hollywood y que sus producciones hagan parte de las mejores películas del siglo XXI.
5. Serguéi Rajmáninov

Se sospecha que uno de los pianistas más influyentes del siglo XX, Serguéi Rajmáninov, de origen ruso, pudo haber sido parte del reducido grupo de personas con memoria fotográfica en la historia de la humanidad.
El compositor ruso Alexander Siloti compartió algunas anécdotas en las que describía a Rajmáninov como un pianista con una habilidad de memorización excepcional.
Se aprendía a la perfección partituras de gran complejidad en cuestión de horas, mientras que al resto de los músicos podía tomarle un par de semanas o meses hasta lograr interpretar la pieza con agilidad, incluso con escuchar una pieza tan solo una vez, era capaz de reproducirla exactamente igual, toda una mente fotográfica.
6. Teddy Roosevelt

El vigésimo presidente de los Estados Unidos, Teddy Roosevelt, era capaz de leer de dos a tres libros al día a una velocidad sorprendente mientras se ocupaba de su labor como jefe de Estado.
Dominaba la lectura rápida, un buen hábito si quieres mejorar la memoria.
Siendo una de las personas famosas con memoria fotográfica, en una que otra ocasión sorprendía a quienes les rodeaban citando páginas enteras de periódicos como si los tuviese frente a sus ojos. No se le escapaba ninguna línea, por supuesto, todos quedaban sorprendidos.
7. Ferdinand Marcos

De las numerosas posibilidades que se abren al contar con memoria fotográfica, Ferdinand Marcos, exdictador de Filipina, usó esta capacidad para catalogar la inmensa colección de zapatos de su esposa Imelda Marcos.
La ex-primera dama conocida por no escatimarse de lujos, tenía más de mil zapatos en su gigantesco armario, Ferdinand era capaz de describirlos uno a uno por marca, color y año de adquisición.
Parece que el severo dictador filipino reservaba un lado muy particular, pues compartía el mismo gusto por la moda que su amada esposa.
El don (o la condena) de nunca olvidar

Imagínese que usted es capaz de recordar lo que almorzó un día como hoy, tres años atrás.
O de saber en detalle las noticias del periódico de una fecha cualquiera, tanto las de hace un momento como las de hace dos décadas.
O que, aunque lo desee, no puede borrar los recuerdos vívidos de un accidente o una ruptura amorosa.
Así es la vida de quienes tienen Memoria Autobiográfica Altamente Superior (HSAM, según siglas en inglés), una extraña condición que genera registros muy precisos de eventos del pasado relacionados con la propia experiencia: desde un acontecimiento familiar a lo que alguien les contó, leyeron o escucharon en un día particular.
El síndrome recibió su nombre, hace apenas cinco años, del experto en memoria James McGaugh, neurobiólogo de la Universidad de California en Irvine. En 2006, el académico publicó un artículo sobre un estudio de seis años de una paciente con los síntomas.
El cuadro ciertamente no es nuevo en la ficción: lo registró la pluma de Borges en «Funes, el memorioso» y ahora es el eje de la serie televisiva «Unforgettable», que acaba de estrenarse en Estados Unidos.
Pero, en el mundo real, hay apenas 20 personas oficialmente diagnosticadas con HSAM, todas en Estados Unidos.
«Probablemente ha habido alguna gente con esta condición por siglos, pero nunca se habían investigado científicamente sus bases. Es un cuadro muy raro e inusual», señala el investigador McGaugh a BBC Mundo.
El grupo de académicos que descubrió la HSAM trabajó con 10 casos, los únicos que habían detectado hasta entonces. Hace unos meses, cuando la cadena CBS puso al aire un informe sobre la condición, fue visto por al menos 24 millones de personas en Estados Unidos, de las cuales 500 contactaron a los investigadores pensando que podían ser candidatos: de ellos, sólo 10 resultaron positivo en los exámenes.
– «Google humano»

Para llegar a reconocer el cuadro, los científicos establecieron sus parámetros: evalúan a los potenciales candidatos con un cuestionario de eventos públicos ocurridos durante los últimos 20 años, desde elecciones a competencias deportivas, entregas de premios o accidentes de aviación.
Sobre ellos, un poseedor de memoria autobiográfica superior podrá decir fecha precisa y día de la semana en que ocurrieron, además de otros detalles.
Los que alcanzan más de 55% en este test son luego interrogados sobre experiencias más personales.
«La familia nos da fotos o diarios y podemos tener datos precisos de lo que vivieron y probar cuánto de eso recuerdan. Es muy, muy difícil que un individuo registre más allá de cierto tiempo con un nivel de detalle tan específico», señala el experto.
No por nada los han bautizado «Google humanos». Brad Williams es uno de ellos:
«La manera más obvia de darme cuenta fue jugando al Trivial Pursuit o en concursos de preguntas en bares… soy un fanático de estos concursos y siempre fui mejor y más rápido que el resto. También en episodios familiares se fue dando: yo era el que podía recordar fechas específicas y detalles de todo», señala el hombre, de 55 años, que vive en Wisconsin.
McGaugh explica que probablemente durante siglos ha habido gente con memoria absoluta.
Le ha encontrado a su condición ventajas específicas para el trabajo: como periodista, necesita «menos archivo físico y menos búsquedas en internet de lo que ya está en mi cabeza», le dice a BBC Mundo.
Su primer recuerdo data de los 2 años, cuando vívidamente se ve en el sillón de su casa prendiendo fósforos robados a una tía fumadora.
«Yo lo noté en la secundaria, me daba cuenta que no todos recordaban lo que yo podía y pensaba que era algo inusual, como ser zurdo o algo así.
Más tarde noté que tenía otra dimensión», cuenta Robert Petrella, otro de los pacientes entrevistado por BBC Mundo, quien se acuerda con la misma nitidez de la llegada del hombre a la luna en 1969 que la elección de Barack Obama en 2008.
Para Petrella, que vive en Los Ángeles, la vida es más ligera con su memoria a cuestas: recuerda cumpleaños y aniversarios y jamás usa la agenda de teléfonos. Pero, además, lo pone a buen uso en su empleo de productor televisivo para documentales de History Channel y Discovery Channel.
– Sin escape
Williams asegura que no tiene trucos para recordar. «Tiene un componente fotográfico (…) me acuerdo de detalles visuales pero más aún de datos precisos».
Pero no todos los poseedores de esta memoria superlativa festejan su condición.
La investigación académica, de hecho, comenzó a pedido de una mujer, Jill Price, quien contactó a los expertos de Irvine por no poder soportar más el constante ejercicio de recordación.
«Es imparable, incontrolable y totalmente agotador… Los recuerdos vienen, simplemente llenan mi mente. No están bajo mi control consciente y, por mucho que quiera, no puedo detenerlos», escribió Price en su libro autobiográfico «La mujer que no puede olvidar».
La memoria absoluta ha complicado, en su caso, las relaciones con el entorno. Y hay un dato contundente: la mayoría de los pacientes de McGaugh no están casados ni tienen relaciones de pareja estables.
«El manejo de la situación depende del carácter de cada individuo y las relaciones familiares u otras cercanas que tengan, no hay un único patrón aunque a veces las interacciones pueden ser complicadas», dice el especialista.
En la «lista oficial» de casos está también el de la actriz Marilu Henner, conocida por la serie «Taxi» de finales de los ’70, para quien poder «visualizar la vida en formato calendario» le ha hecho más fácil la tarea de la actuación.
Ahora, la actriz da charlas motivacionales y ha escrito un libro para ayudar a otros a activar su memoria autobiográfica.
– Buscando en el cerebro
El neurobiólogo McGaugh considera, sin embargo, que la HSAM no puede ejercitarse: es una condición preexistente y que se mantiene en el tiempo, a la que aún no le han encontrado explicación neurológica.
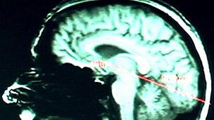
Para identificar su origen, el equipo de Irvine realiza una serie de resonancias magnéticas estructurales y otras funcionales, además de análisis genéticos. Hasta el momento, han logrado observar que algunas de las zonas del cerebro de los pacientes con HSAM son más grandes que las de un individuo con memoria normal.
Estas áreas cerebrales serían las mismas que se vinculan con conductas obsesivo-compulsivas: amontonar recuerdos es, por caso, una analogía de la acumulación compulsiva de objetos. Ahora, los médicos están en proceso de proveer una interpretación científica a estos hallazgos.
Por lo pronto, recomiendan que aquellos pacientes que llevan la condición como un peso no se expongan a circunstancias traumáticas, si pueden evitarlo: no son buenos candidatos, por ejemplo, para enrolarse en el ejército e ir a una guerra.
Pero, según McGaugh, la mayoría de los pacientes celebra una condición que les permite entretener a amigos durante una velada o prescindir de cuadernos de notas y archivos de periódicos.
«La mayoría piensa que es un don. Les he preguntado si preferirían no tenerlo y dicen que no lo cambiarían por nada», señala el jefe de la investigación.
nuestras charlas nocturnas.
Deja un comentario